임신 7주 2일 아기의 심장 소리 듣기 + 임신성 갑상선 항진증 재검, 임산부 갑상선 수치
저번 5주4일에 아기집만 보고 노른자, 아기를 못봤다고 하였는데 6주0일에 다른병원에 가서 노른자, 아기(배아)를 보고와서 다 건강하니 2주후 8주에 오라고 하셔서 6주에 산전검사를 하고왔는데

문자가 왔는데 갑상선 기능 이상으로 내과 진료 오래요그래서 전화해 봤는데 가능한 한 빨리 오는 것이 좋대.
하… 무슨일인가 싶어 또 폭풍검색(이때가 추석기간이라 병원을 최소 3일뒤에나 방문할수 있어서 갑자기 걱정이 되었습니다.ㅠㅠ) 검색해보니 대부분 임신성 갑상선 저하증이신 분이 많은 것 같습니다.그냥 약을 먹으면 되는 거지 큰 문제는 아니라며 다행히 걱정은 하지 않고 병원에 왔습니다.
갑상선 수치 일반인의 경우 갑상선 정상 수치가 3까지 정상 범위로 보지만, 임산부는 타이트하게 잡아 2.5까지 정상으로 봅니다.그래서 2.5가 넘으면 갑상선 저하증으로 약을 먹어야 되는데 저는 수치가 2
임산부 갑상선 수치의 경우 입덧이나 임신 초기 호르몬에 의해 일시적으로 올라가는 경우가 있기 때문에 즉시 약을 먹는 것보다 저처럼 수치가 애매하면 재검사를 합니다.그래서 다시 피를 뽑고 재검을 했어요.다행히 재검에서 2.1로 떨어져서 일단 약은 보류하기로 하고 한달 후에 다시 검사를 하기로 했습니다.(한달뒤가 어차피 12주 1차 기형아 검사라서 빼겠다고…)
그리고 만약을 위해 갑상선 초음파도 했는데 가족력도 없고 혹도 없고 갑상선염도 없다고 해서 안심하고 왔어요. 갑상선 저하증상 1. 만성피로 2. 식욕부진 3. 체중증가 4. 추위 5. 변비 등 외에 피부가 건조하거나 월경과다 등
저는위증상중에1번4번이너무심하게나타나서사람들은반팔입고에어컨틀때긴팔입고담요를덮고있었거든요.피로도 굉장히 심각했어요 ㅜㅜ식욕 부진은 단지 입덧 정도로, 체중은 다행히 증가하지 않았습니다.변비는 임신 초기의 증상으로 설사가 있었기 때문에 두 사람이 상쇄되어 적당했던 것 같습니다. www
어쨌든내과진료와함께산부인과도진료를받아야된다면서진료를받는김에아기가잘있는지살펴보자고해서보고왔는데,
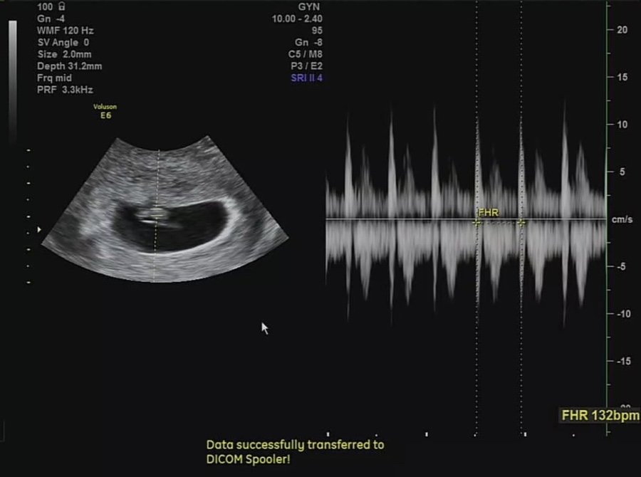
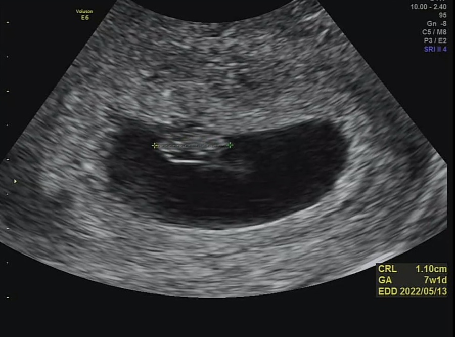
임신 7주 2일 심장 소리를 듣는다!

일단 저번보다 아기가 많이 컸다고 비춰주셨어요 아기의 크기는 1.1cm, 7주, 1일 정도로 예상 주수에 맞게 커진다고 합니다.

심장 소리도 듣고 왔습니다. ㅎㅎ 132bpm 아주 힘차요 ㅎㅎ

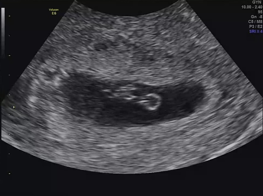
오른쪽 동그란 거 노른자 같아?동그란 반지 모양 잘 나왔어요 ㅋㅋ

그리고 빛나는 게 아기키라키라 하는 걸 보여줬어요 (웃음)

애기는 성장했지만 여전히 제가 문제 ㅎㅎ 아직 피고인이 많이 남아있어요집에서 맨날 잠만 자는데 왜 아직도 피고인이 있어서 나는 매일 피곤할까 ㅠㅠ

이번에도 젖산방지제를 넣으셨어요 이번에는 처방도 해줬어요.
이틀에 한 번 넣는 것이 좋고, 넣고 누워 있는 것이 좋기 때문에 저녁에 넣는 것이 좋다고 생각합니다.
보험을 듣지 않았더니 17580원이나 지급이 되었네요.이번달 검사비만 30만원쓴거 같은데……..아직 카드를 안만들어서 돈을 많이 쓰고있어..국민행복카드였던가봐..그거 내년에 만들어 줄게혜택이 내년에 더 커서…ㅎ
어쨌든 다음 2주 후에는 피고인이 사라졌으면 좋겠어요.(웃음)