2022/02/18 임신 36주 차임 키 48.6kg 36주 현재 체중 56.2kg 합계 +7.6kg 증가
<36주 증상>??속쓰릴 수 있다, 시내를 반복해서 밀가루나 매운 음식을 먹으면 특히 심하다(철분제를 바꾸었지만 철분 탓도).
?? 코 막힘과 목 건조가 심하다
??뒤돌아보면 배고픔
태동은 아직 활발한 편이다.
??물 많이 먹으려고 노력 중 덕에 화장실 출입


2022/02/16 35주5일 미용실
생머리라서 당분간 머리는 못할것 같다고 지난 수요일 미용실 방문 매직과 펌을 같이 한 윗머리는 너무 부스스해서 매직, 아랫머리는 어릴때 묶기 좋게 펌


<임산부 편도염>
이날 찬바람이 부는데 너무 오래 돌아다녀서인지 전날 저녁부터 목이 조금 아프고 16일 저녁부터 목이 따끔따끔…
며칠 내내 잠을 못 자고 생활패턴도 엉망이었는데 머리 깎으러 갔다가 찬바람을 맞은 게 화근이 됐다.
두 눈에 붉은 반점과 부기가 동반된다.
아기 낳고 편도선 자르고 그래야죠.급성 편도염, 만성 편도염, 편도결석을 달고 사는 것도 정말 지겹고 요즘은 잠잠하다 싶으면 면역력이 바닥나면 와~ 편도염 당선입니다.
밤 10시 이후에는 참을 수 없는 칼로 편도선을 후비는 듯한 통증은 삼키지 못하고 입도 벌릴 수 없는 상태.
나는 오른쪽 편도선이 항상 크기 때문에 오른쪽을 중심으로 편도염이 걸리기 쉽고, 오른쪽 귀의 통증도 동반한다고 해서 막이 찢어져 버릴 것 같다.
열이 나면 아이가 위험하므로 때때로 열도 ▲열은 37도이고 계속 미열 상태 =38.3도 이상이면 무조건 병원행이다.
결국 하루를 꼬박 새워 따뜻한 차, 목도리, 양치질 등 글을 쓰고 있는 현재에도 많이 아픈 상태, 어젯밤부터 조금 나아질 줄 알았는데 아침이 되어 다시 원래대로 돌아오는 것, 다행히도 열은 전혀 없고 오른쪽 편도와 오른쪽 귀의 통증 있음
병원에 가도 해줄 수 없다는 것을 알기 때문에 집에서 최대한 따뜻한 물과 수분 섭취, 목은 따뜻하게 감고 있다, 가글 수시로 잘 해주기 등 실천 중 4-5일 아픈 것을 아니까 그냥 참을 수밖에 없는 오비산부인과 서울특별시 마포구 신촌로 12 동우빌딩 4층

2022/02/18 36주 진대산부인 과만삭검사
어제는 36주 정기검진이 있던 날 지난번 검진 때 미리 준비해 준 소변 스틱에 소변을 묻혀 사진을 찍고 편도염으로 컨디션이 최악이지만 병원에 기어서 도착.


몸무게와 키, 혈압을 재서 간호사에게 제출

소변 볼 때 받아두라고 주신 소변검사함


진오비 산부인과 도착 후 만삭 검사 중 가장 먼저 심전도 검사 진행이 정상이라고 하는데 나는 그래프 보는 법을 모른다.
이어 심상덕 원장님을 만나 GBS균 검사와 항문균 검사, 내진을 했다.
GBS균은 신생아들에게 생명을 위협하는 감염의 가장 흔한 원인이다.검사 결과는 일주일 정도 뒤에 문자로 안내할 것이며 만약 균이 발견되면 즉시 치료를 해야 한다.
내진검사는 내가 걱정할 만큼 별거 아니었어 좀 불편하다 싶은 정도로 끝나서
내진 검사를 한 후 원장님께서 뭐라고 말씀을 하셨는지 알려 주시겠습니까?기억이 안나;;자궁구가 얼마나 열렸는지 안의 골반이 좁아서 왠지..기억상실?

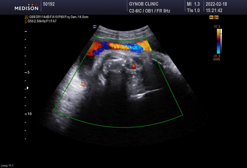
▲초음파실에서 초음파도 봤다=심상덕 원장님은 초음파를 5분 동안 꼬박꼬박 챙겨보신다.
아기의 머리 위치는 정상*경부 제대륜 1회 신경 쓸 필요는 없습니다.
- 경부 탯줄은 탯줄이 아기의 목 부분을 감고 있다는 것을 의미한다
- 초음파 다 본 후 혈액검사와 소변검사까지 끝!철분 수치가 낮은 편이어서 이번 피검사 결과를 보고 수치가 너무 낮으면 대학병원에 가라고 하셨는데..부디 정상이길??

심전도, GBS균검사, 내진, 초음파, 피검사, 소변검사
국민행복카드 바우처를 사용해 진OB 산부인과 진료비는 55,000원이 나왔다.

심상덕 원장님께서 늘 손으로 작성해주시는 정성 가득한 산모수첩 ? 다음 진료는 38주지만 37주 6일 예약을 잡아오기

다음 진료에서는 출산계획서를 작성해 오라는 말을 듣고서야 출산이 다가오고 있음을 느낀다.지금부터는 언제 아기가 나와도 전혀 이상하지 않다고 했다!

쭉쭉 체중은 2.86kg 조금 더 큰 편.

심박수 152bpm 정상

태반과 양수의 정상

경부제 대륜 1번 탯줄에 목을 1번 감고 있다는 뜻이다.너무 신경 안 써도 될 것 같아


느긋한 얼굴 ㅋㅋㅋ 귀여워 ❤️






36주차 배 크기는 누가 제 배에 공을 넣어놨어요?왜 이렇게 뻣뻣하고 통통하지?

13주와 36주 배 크기
갈비뼈도 많이 벌어져 있어서 사랑이 힘들구나

짝수로 모은 주수별 배의 크기
계단을 올라가는 것이 너무 힘들어요.숨이 차~ 무릎 아파~
3~8주에 태동검사만 하고 초음파는 안본대, 다음주에는 실물로 볼 수 있을지도 몰라 ㅎㅎ? 긴장된다.