
1997년 안과 전공의를 시작했을 때 녹내장 분야는 이론뿐만 아니라 실제적인 진료 기반인 진단 장비와 약물 모두 빈약했습니다. 그러나 1990년대 후반부터 시작된 다양한 연구와 개발이 급격하게 발전했습니다
1997년 춘계학회에서 잘라탄이라는 녹내장 신약이 소개된 1998년~2003년 잘라탄, 루미건, 트라바탄, 돌섭, 코소브, 콤비간, 알파간 약물이 출시된 2003년~2004년 광간섭 단층촬영(OCT3, 눈CT)이 한국에서 사용되기 시작했다.
현재 녹내장 이론을 뒷받침하는 매우 중요한 임상연구(Randomized clinic latrials)가 1990년대 후반부터 미국에서 발표되기 시작했습니다.
이런 발전 이슈를… 바로 옆에서 계속 지켜보고 있었어요1997년 안과 전공의 1년차가 시작되어 2001년 안과 전문의를 취득 2004년~2005년 녹내장 전임 2006년~2011년 녹내장 대학교수 2011년~2018년 전문병원 녹내장 센터장이 여기에 하나 더… 2007년 3월 미국의 OPHT HALMOGY 학술지에 게재된 스탠퍼드대학 Kuldev Singh 교수의 논문은 한국의 녹내장 연구를 크게 다루었습니다.Nonprogressive Glaucomatous Cupping and Visual Field Abnormalitiesin Young Chinese Males

근시와 녹내장
근시가 녹내장 발생의 위험 인자인 것은 틀림없지만, 진행에는 어떤 영향을 주는가.위 논문에서 일부 고도 근시 환자에서는 녹내장이 발생하기는 했지만 진행되지는 않았다는 것입니다.

근시와 녹내장의 관계에 대한 연구는 현재도 진행되고 있습니다.한국에서 많은 근시와 정상 안압 녹내장의 관계를 분명하게 보여준다면 획기적인 일이 될 것입니다.
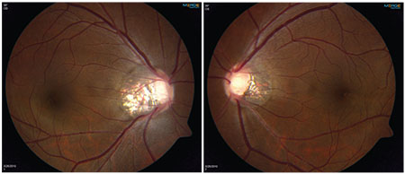
오늘 30대 중반의 녹내장 근시 남성 환자가 내원을 하였습니다. 어제 부천의 다른 안과에서 녹내장 진단을 받았는데 다시 확인을 받고 설명을 듣기 위해 왔습니다.”젊은, 고도 근시, 정상 안압 녹내장, 시신경 유두 주위축, 기울어진 시신경 유두…’ 오른눈은 중기, 왼쪽눈은 매우 초기 상태에서 조금씩 설명했습니다. 처음 녹내장 진단을 받은 환자에게 질병을 설명할 때는 걱정하지 않도록 안심시키는 것이 중요합니다.
환자를 녹내장 질병 자체가 아니라 사람으로 보고 진단하지 않으면 안 됩니다. 인간적인 말 한마디가 중요하죠.녹내장 환자가 질병을 의사에게 맡겨 일상 생활을 편하게 하는 열쇠입니다.
고도 근시에서 발생한 정상 안압 녹내장을 어떻게 보는가. 당연히 항녹내장 약을 사용해야 합니다. 진행을 오랫동안 주의 깊게 관찰하고 환자와 신중하게 그 예후에 대해 상담해 나갑시다. 고도 근시가 없는 정상 안압 녹내장과는 다른 접근이 필요할 수 있습니다.
상동역 5번출구, 백내장/녹내장/드림렌즈 전문병원 www.hangileyeclinic.com