반려동물 간종양 발견검사와 수술 24시 우리들동물메디컬센터
![]()
안녕하세요~ 우리들동물메디컬센터가 2022년 10월 20일부터 확장 이전하여 서울 양천구 신월로 355에서 진료를 진행하고 있습니다.
24시 우리들동물메디컬센터 서울특별시 양천구 신월로 355
![]()
24시 우리들동물메디컬센터 서울특별시 양천구 신월로 355
이쪽으로 내원해 주세요.
![]()
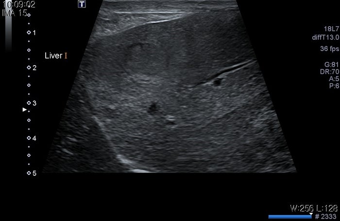
지금부터는 애완동물의 간종양에 대해 말씀드리겠습니다.오늘 얘가 보인 증상이 뭐였을까요?증상 : 구토, 최근 구토가 심하여 동물병원에 내원하게 된 아이입니다.아이가 구토하는 원인을 찾기 위해 검진을 하던 중 종괴가 발견되었습니다.지금까지는 위장관 관련 진료만 받았대요.오늘은 좀 더 자세한 검사를 해봤습니다.강아지 간종양 검사 간종양 검사는 1차적으로 초음파를 통해 확인할 수 있으며, 간종양으로 의심되는 정황이 발견되면 이후 CT 촬영을 하여 종양 전이 평가와 주변 조직과 유착되거나 침습되지 않았는지 확인해야 합니다.그래서 얘도 CT 검사를 했는데 CT 검사 결과
간에서 2개의 종괴가, 관찰 간에서 2개의 종괴가 관찰되었습니다.1. 좌횡격막에 가까운 위치(좌외엽 또는 내엽으로 추정)와 2. 위에 가까운 위치(좌외엽으로 추정)에 각각 1개씩 관찰되었습니다.
![]()
간종류의 크기 간종류의 크기는 1. 횡격막에 가까운 위치 약 2.17cm * 2.07cm * 2.06cm 2.위에서 가까운 위치 약 4.55cm * 3.25cm * 4.31cm 정도의 크기로 확인됩니다.위에 가까운 위치의 종괴는 소만곡과 매우 인접해 있어 유착 가능성도 배제할 수 없었습니다.반려동물의 간종양은 어디에 발생할까.이렇게 간은 여러 개의 잎으로 나뉘어져 있는데 이 여러 개의 간엽 중 어디에나 종양이 발생할 수 있습니다.얘는 두 군데서 발생했어요.애견간종양 치료방법→수술
개의 간종양은 수술을 해서 치료해 줍니다.
![]()
간 종양이 확인되어 큰 간 종양을 제거해 주었습니다.
수술로 제거한 애완동물 간종양의 실제 모습

수술로 제거한 애완동물 간종양의 실제 모습수술로 제거한 애완동물 간종양의 실제 모습수술로 제거한 애완동물 간 종양의 실제 무게반려견 간종양 제거 수술 성공!애완동물 간종양의 초기 증상은?종양이 발생한 초기에는 별다른 증상 없이 진행되는 경우가 많고, 이를 보호자가 알아채기 어렵기 때문에 정기적인 건강검진에서 발견되는 경우도 많습니다.정기적인 건강검진이 중요한 이유 중 하나입니다.정기적인 건강검진이 중요한 반려동물의 간종양은 수술로 떼어낸 후 조직검사를 하는데, 만약 악성종양의 경우 다른 장기로 전이될 수 있으므로 조기에 발견하여 치료하는 것이 중요합니다.조기에 발견하기 위해서는 건강검진을 잘해주는 등 보호자의 노력이 필요합니다.강아지 간종양 수술의 충분한 경험이 뒷받침되는 병원 우리들동물메디컬센터 강아지 간종양 수술은 수의학에서도 난이도가 높은 수술입니다.그렇기 때문에 충분한 경험이 뒷받침되어야 하며, 그것을 무시할 수 없습니다.저희 병원에서는 2007년 개원 이래 수천 번 이상의 사례를 볼 수 있습니다.실제로 수술은 수만 번 이상 해왔고 그만큼 전문성을 갖춘 동물병원입니다.저희 병원이 전국 최고 수준의 종양 수술을 하고 있고, 그것이 바로 학부모님들도 저희 병원을 선택하는 이유입니다.종양제거 수술 후 조직검사 결과에 따라 전이 여부를 확인하는 모니터링 내과적 항암치료도 시행하고 있으니 반려동물의 간종양 수술이 고민되시면 상담을 받아보시기 바랍니다. 50m 네이버 더보기 / 오픈스트리트맵지도데이터x 네이버 / 오픈스트리트맵지도컨트롤러 범례부동산대로읍,면,동시,군,구시,도국24시 우리들동물메디컬센터 서울특별시 양천구 신월로 355서울시 양천구 신월로 355, 우리들동물메디컬센터 02.2642.7588