엊그제 저녁에 폭풍 검색해서 공부하고 어제 병원 다녀왔어. 엑스레이 찍고 초음파랑…

나때문이다; 정말 한동안 무지했던 나에게 너무 자책해서 미안하고;

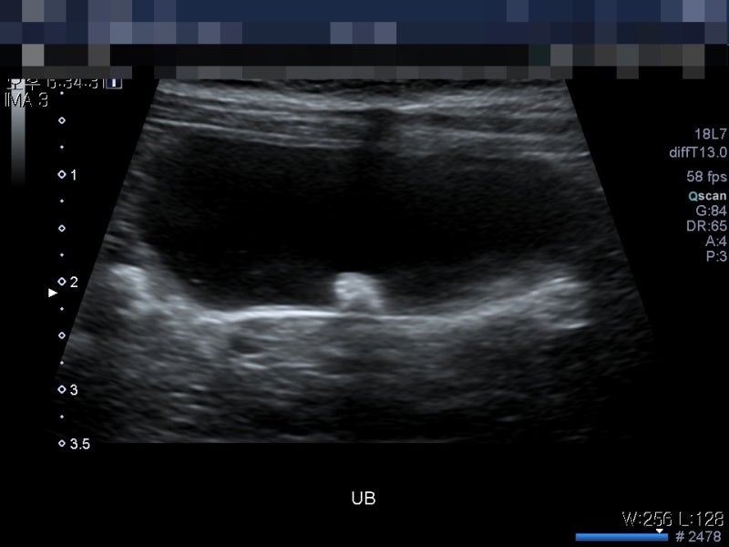
#강아지 방광결석 수술비용은 이것도 만만치 않아 현재 긴축시국에 부담이지만 우선 건강이 우선이고~
강아지 누렁이가 몇 번 피 묻은 소변을 본 것 외에 아파하지는 않으니(결석도 작고 다수) 그래서 우선 약 처방을 받고(이게 항생제 같은 건가?) #결석사료를 사서 수술은 마지막 보류로 남기고 그 전에 자연치유 관리에 들어가기로 했다.
수술은 신중, 고민은… 상태 상황을 보면서 신중하게 결정하려고 한다.
여기서 제일 중요한 건…
바로 이거 (아래영상!!)!))
…

#개의 방광결석증상 보통 이 증상이 소변을 거의 볼때쯤 위와 같이 피가 섞여 나온다; (이번에는 좀 진해서 놀랐다;;)
소변이 나오고 안의 결석이 방광벽을 긁기 때문이라고 들었다. 사람들도 결석때문에 기절할정도로 아프다고 한사람도 있다던데;;
우선 결석이 크지 않고 관찰하면서 요도를 막지 않는 이상 되도록 물 마시는 양을 늘려 배변 횟수를 늘려 소변으로 배출시켜 보자는 게 우선적인 내 선택이다.
수술은 앞으로의 플랜으로, 그래도 미리 대비하기 위해서 제대로 된 마인드와 실력을 겸비한 의사가 있는 동물병원을 알아보도록 하고(수술은 마지막 플랜) 우선적으로는
#개 소리를 늘리다
이게 포인트!
어제 병원에 가는 도중… 눈이 힘이 없는것 같네;
검색해서 공부하고
어떻게 물을 마시는 음수량을 늘리고 배변화수를 늘릴까..
간사모로 팁도 찾고 검색도 하고 일단 먹이를 불리기도 하고 닭가슴살 삶아서 물을 여유롭게 가슴살을 얇게 풀고 아까 삶은 물이랑 먹이를 좀 넣어봤는데… 히트다 히트! 잘 먹네.
그리고 활동량을 늘려서 몸을 덥게 하고 물을 비우는 요령도 있고. 근데 추워진다 이거 쉽지 않을 것 같고

아무튼 음량 올릴게~야외 배변하는 만큼 내가 고생해도 밖에 왔다 갔다 했어. 하루에 3번 이상은 ~해야 한다. 기존 하루 2번 산책도 쉽지 않았는데.. 아침 일찍 한번~점심 먹고~ 밤 늦게~ 이렇게 최소 3번 이상은 움직여야 한다고.
잘 관리해서 수술하지 않고 빵과 결석이 배출될 수 있도록..
건강 대머리♡
PS. 전문 1탄 숏컷(아래) https://m.blog.naver.com/gajago88/222919200878 새벽 3시에 써보니 4시가 넘도록 잠이 오지 않는다. 얘 때문에 졸려? 나 이쪽에 설치하고 있어… m.blog.naver.com